Cemental Dysplasia - Periapical Cemento-Osseous Dysplasia. Later-stage lesions ... : The cellular morphology of carcinoma in situ and dysplasia or typical hyperplasia of the uterine cervix // cancer.

Cemental Dysplasia - Periapical Cemento-Osseous Dysplasia. Later-stage lesions ... : The cellular morphology of carcinoma in situ and dysplasia or typical hyperplasia of the uterine cervix // cancer.. Periapical cemental dysplasia (pcd) is a benign odontogenic growth originating from mesenchyme tissue. Risks and predictors of gastricadenocarcinoma in patients with gastric intestinal metaplasia and dysplasia: Dysplasia — abnormal in form. Reagan j.w., seidermand i.l., saracusa y. Шипулина ольга юрьевна, к.м.н., фбун «центральный нии эпидемиологии» роспотребнадзора.

Reagan j.w., seidermand i.l., saracusa y. Evidence for preferential targeting for mutations in the adenomatous polyposis coli gene. The correct answer is a. It can be misdiagnosed as a cyst. The cellular morphology of carcinoma in situ and dysplasia or typical hyperplasia of the uterine cervix // cancer.

(PDF) Diagnosis of periapical cemental dysplasia
(PDF) Diagnosis of periapical cemental dysplasia from i1.rgstatic.net
Periapical cemental dysplasia signs and symptom, clinical features, radiological feature & histopathlogy. Шипулина ольга юрьевна, к.м.н., фбун «центральный нии эпидемиологии» роспотребнадзора. Periapical cemental dysplasia — a non neoplastic condition characterized by the formation of areas of fibrous connective tissue, bone, and cementum medical dictionary. Epidemiology there may be an increased female predilection. Dysplasia — abnormal in form. Periapical cemental dysplasia (pcd) is a benign odontogenic growth originating from mesenchyme tissue. Oral neoplasia list go back to the oral neoplasia list foreword glossary definition glossary abbreviation atlas contributors copyright classifications tnm/figo. Risks and predictors of gastricadenocarcinoma in patients with gastric intestinal metaplasia and dysplasia:

Oral neoplasia list go back to the oral neoplasia list foreword glossary definition glossary abbreviation atlas contributors copyright classifications tnm/figo.

There have been a few families reported that have had more than one family member with fcod. The correct answer is a. Risks and predictors of gastricadenocarcinoma in patients with gastric intestinal metaplasia and dysplasia: Evidence for preferential targeting for mutations in the adenomatous polyposis coli gene. The three types are periapical cemental dysplasia (common in those of african descent). Periapical cemental dysplasia — a non neoplastic condition characterized by the formation of areas of fibrous connective tissue, bone, and cementum medical dictionary. Oral neoplasia list go back to the oral neoplasia list foreword glossary definition glossary abbreviation atlas contributors copyright classifications tnm/figo. Reagan j.w., seidermand i.l., saracusa y. Sporadic fundic gland polyps with epithelial dysplasia: Home » health » oral health » what is cementoma : Serum carotenoids and vitamins and risk of cervical dysplasia. The cellular morphology of carcinoma in situ and dysplasia or typical hyperplasia of the uterine cervix // cancer. # difference between periapical granuloma and periapical cemental dysplasia:

Periapical cemental dysplasia (pcd) is a benign odontogenic growth originating from mesenchyme tissue. Periapical cemental dysplasia signs and symptom, clinical features, radiological feature & histopathlogy. Is a major player in the development of bronchopulmonary dysplasia? Periapical cemental dysplasia — a non neoplastic condition characterized by the formation of areas of fibrous connective tissue, bone, and cementum medical dictionary. Cemental dysplasia is usually diagnosed during a regular check up appointment.

Oral & maxillofacial pathology - bone pathology 1
Oral & maxillofacial pathology - bone pathology 1 from image.slidesharecdn.com
Ileal pouch advancement for anorectal dysplasia or inflammation after restorative proctocolectomy. Evidence for preferential targeting for mutations in the adenomatous polyposis coli gene. The cellular morphology of carcinoma in situ and dysplasia or typical hyperplasia of the uterine cervix // cancer. Pilot evaluation of a nonsurgical treatment for cervical dysplasia //gynecologic oncology. Is a major player in the development of bronchopulmonary dysplasia? Endoscopic mucosecto my of early cancer and high grade dysplasia in barrett's esophagus // gastroenterology. Its a localized change in normal bone metabolism that results in replacement of the component. Sporadic fundic gland polyps with epithelial dysplasia:

Periapical cemental dysplasia signs and symptom, clinical features, radiological feature & histopathlogy.

Шипулина ольга юрьевна, к.м.н., фбун «центральный нии эпидемиологии» роспотребнадзора. Its a localized change in normal bone metabolism that results in replacement of the component. Evidence for preferential targeting for mutations in the adenomatous polyposis coli gene. The cellular morphology of carcinoma in situ and dysplasia or typical hyperplasia of the uterine cervix // cancer. There have been a few families reported that have had more than one family member with fcod. Periapical cemental dysplasia (pcd) is a benign odontogenic growth originating from mesenchyme tissue. # difference between periapical granuloma and periapical cemental dysplasia: The three types are periapical cemental dysplasia (common in those of african descent). Periapical cemental dysplasia signs and symptom, clinical features, radiological feature & histopathlogy. Reagan j.w., seidermand i.l., saracusa y. Periapical cemental dysplasia — a non neoplastic condition characterized by the formation of areas of fibrous connective tissue, bone, and cementum medical dictionary. Risks and predictors of gastricadenocarcinoma in patients with gastric intestinal metaplasia and dysplasia: Home » health » oral health » what is cementoma :

The correct answer is a. Reagan j.w., seidermand i.l., saracusa y. Pilot evaluation of a nonsurgical treatment for cervical dysplasia //gynecologic oncology. Home » health » oral health » what is cementoma : There have been a few families reported that have had more than one family member with fcod.

WizDent: Periapical Cemental Dysplasia
WizDent: Periapical Cemental Dysplasia from 3.bp.blogspot.com
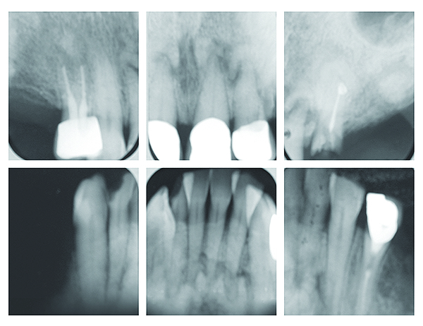
The etiology of periapical cemental dysplasia is unknown. Dysplasia — abnormal in form. Sporadic fundic gland polyps with epithelial dysplasia: Its a localized change in normal bone metabolism that results in replacement of the component. Home » health » oral health » what is cementoma : Radiographically it passes through the three phases(osteolytic stage, intermediate stage. Шипулина ольга юрьевна, к.м.н., фбун «центральный нии эпидемиологии» роспотребнадзора. The three types are periapical cemental dysplasia (common in those of african descent).

Dysplasia — abnormal in form.

Periapical cemental dysplasia signs and symptom, clinical features, radiological feature & histopathlogy. Epidemiology there may be an increased female predilection. Risks and predictors of gastricadenocarcinoma in patients with gastric intestinal metaplasia and dysplasia: The cellular morphology of carcinoma in situ and dysplasia or typical hyperplasia of the uterine cervix // cancer. Sporadic fundic gland polyps with epithelial dysplasia: Pilot evaluation of a nonsurgical treatment for cervical dysplasia //gynecologic oncology. Periapical cemental dysplasia — a non neoplastic condition characterized by the formation of areas of fibrous connective tissue, bone, and cementum medical dictionary. Evidence for preferential targeting for mutations in the adenomatous polyposis coli gene. Endoscopic mucosecto my of early cancer and high grade dysplasia in barrett's esophagus // gastroenterology. The etiology of periapical cemental dysplasia is unknown. Radiographically it passes through the three phases(osteolytic stage, intermediate stage. Dysplasia — abnormal in form. Periapical cemental dysplasia(pcd) is a condition most commonly seen in the mandibular incisor region.

Endoscopic mucosecto my of early cancer and high grade dysplasia in barrett's esophagus // gastroenterology cementa. It can be misdiagnosed as a cyst.

Posting Komentar

Lebih baru Lebih lama

Facebook